
横浜のオールオン4ならあきもと歯科まで
そのお悩み、
横浜の『あきもと歯科』のオールオン4なら解決できます!
Concept
あきもと歯科の
治療方針
あきもと歯科では患者さんのご希望に沿った治療方法をご提案します。
オールオン4の治療では、前歯から奥歯まで、すべての歯を抜かなければなりません。ご自身の歯を1本でも残したい方はご希望の箇所にのみインプラント治療を行い、ボロボロの状態を治療することも可能です。
患者さんにご納得いただいたうえで、適切な治療を進めてまいります。
About
オールオン4について
オールオン4とは、顎の骨に人工歯根を埋入する「インプラント治療」の一種です。
人工歯一本ずつにインプラントを埋入する従来の治療方法とは異なり、前歯から奥歯までの人工歯を4本のインプラントで支えます。
複数本の人工歯を限られたインプラントで支えるため、身体への負担や治療費用を軽減できます。
Merit
オールオン4のメリット
身体の負担が
少なく済みます
一般的なインプラント治療で片顎全てを治療する場合、基本的には歯を失った箇所にインプラント体を埋入してまいりますので、10本以上の埋入手術が必要となり、何回にも分けて治療を行ってまいります。対してオールオン4は顎に埋入するインプラントの数が最低4本で済みます。骨がしっかりしている部分に埋入しますので、骨造成などの手術も必要もなく、通常のインプラントと比較して患者様の身体的な負担を少なく抑えることができます。
4本のインプラントで
片顎の歯を支えます
オールオン4は、4本のインプラントで片顎全ての歯を支えるインプラント治療です。多くの歯が虫歯でボロボロになってしまったり、歯周病でグラグラになってしまった方や総入れ歯が合わずにうまく噛むことができない方にお勧めの治療方法です。
※お口の状況により、埋入本数が変わる可能性がございます。
固定費用で行えます
一度の手術で片顎全ての歯を支えるために必要な本数のインプラントを埋入しますので、追加費用を検討することなく、手術が行えます。また、1本1本個別にインプラント手術を行うケースと比較すると、費用面もリーズナブルになるケースが多いです。
入れ歯で生じる
不快感が解消します
入れ歯で生活をしている際に、歯茎と入れ歯の間に食べ物が入り込んで痛みを覚えた経験をお持ちの方は多いのではないでしょうか。また、入れ歯の厚みで発音がしづらい、と感じることもあると思います。オールオン4は顎の骨に直接装着するため、一般的な入れ歯と比べて食事をより美味しく食べることができますし、日々の発音も違和感が少なく、今までと同様に会話を楽しむことができます。
オールオン4が
おすすめな人
- 歯が全体的にボロボロでお悩みの方
- 入れ歯でお食事や発音にお困りの方
- 毎日の入れ歯のお手入れが面倒な方
- すでに総入れ歯をされている方
- ご自身の歯と同じように食事を楽しみたい方
オールオン4のリスク・注意点
残っている歯を抜歯する必要がある治療できる医療機関が限られる健康保険が適用されない治療直後は食事制限がある
Step
あきもと歯科での
オールオン4治療の流れ
-
1.

カウンセリング
患者さんのご希望を伺って、治療方針の策定や予算のご提案を行います。
オールオン4やインプラントに関して疑問点があれば、なんでもご質問ください。 -
2.

精密検査
患者さんのご希望を伺って、治療方針の策定や予算のご提案を行います。
オールオン4やインプラントに関して疑問点があれば、なんでもご質問ください。 -
3.

インプラント埋入手術
手順に問題がなければ、2回目の通院時には手術が可能です。
4本のインプラントを埋入し、仮歯を装着します。 -
4.

型取り
手術後は、2か月ほどの治癒期間を設けます。
治療期間が経過したら、インプラントが骨と結合したことを確認し、最終的な型取りを行います。 -
5.

完成
インプラントに装着する人工歯が完成したら、仮歯から置き換えます。
人工歯を装着したあとも、定期的なメンテナンスが必要です。
Feature
あきもと歯科の
オールオン4の特徴
大学病院所属のインプラント認定医による治療
オールオン4の治療には、高い技術力を要します。
総入れ歯の治療経験がなければ難しいため、インプラントを提供している歯科医院であっても、オールオン4の治療に対応していないところは珍しくありません。
当院の院長・秋元陽は、大学病院の補綴科に所属しており、歯科医療の発展を目的とする、国際口腔インプラント学会の認定医でもあります。
当院では、補綴科での豊富な経験とインプラントの治療技術をあわせて、オールオン4を提供しております。

明瞭な料金体系
高額となるオールオン4の治療を安心して受けていただくため、明瞭な料金体系を設けております。
また当院では、立地選びを工夫してクリニックの家賃を抑えているので、相場の半額以下の価格での、ご提案が可能です。
価格を理由にほかの歯科医院での治療を諦めた方でも、当院にお越しになれば、治療をご検討いただけます。

世界シェアNo.1の素材を使用
オールオン4の治療には、50年ものあいだインプラントの研究・開発を続けてきた、ストローマン社製『BLXインプラント』を使用しております。
ストローマン社製のインプラントは、10年後の生存率が98.8%と高く、長期にわたって安定性が期待できます。
また、ストローマン社の製品は、インプラント周囲炎の発生率が1.8%と極めて低いのも特徴です。
スイスの時計産業に用いられる精密な技術によって、高い品質が維持されているストローマン社製のインプラントは、世界トップクラスのシェアを誇ります。
※インプラント周囲炎とは…インプラント周囲の粘膜に炎症が起こる疾患。

より確実で安全な治療のための
精密診断
歯科用CTで撮影を行い、インプラントを埋入した際に支障がでないか、手術前にコンピュータでシミュレーションいたします。
患者さんにもデータを確認していただいたうえで、問題がなければ、インプラントの埋入に進みます。

専属の歯科技工士による
高品質な人工歯.1の素材を使用
多くの歯科クリニックが外部の機関に依頼するなか、当院では専属の歯科技工士がインプラントの人工歯を作成しております。
ドクターと密にやり取りしたうえで製作を進めるため、患者さん一人ひとりに合った、クオリティの高い仕上がりを実現できます。

Price
オールオン4の治療費
2,200,000円(税込)~3,300,000円(税込)
※インプラントの埋入費用・被せ物・CTなど、すべての治療費用込み
※相談料・説明料・通院費用などを含む
保証制度について
あきもと歯科では、5年間の保証制度を設けております。
埋入後5年間は、インプラントの保証・メンテナンスをお約束いたします。
万が一トラブルが起こった際は、迅速に対応させていただくので、ご安心ください。
※5年保証の対象:3~4ヶ月ごとに定期健診にご来院頂ける方が対象となります。
医療費控除について
オールオン4の治療費用は、医療費控除の対象です。
確定申告の際に申請することで、医療費の金額に応じた還付金を受け取ることができます。
申請には領収書が必要となるため、大切に保管いただくようお願いいたします。
デンタルローンに
ついて
治療費用のお支払いには、デンタルローンのご利用も可能です。
デンタルローンとは、歯科治療にかかる費用を分割でお支払いいただく、ローン商品です。
月々のお支払金額は3,000円からと、少額に設定できるため、
高額な治療費用を理由に諦めていた方でも、オールオン4をご検討いただけます。
Q&a
オールオン4Q&A
-
Qオールオン4に不向きな人はいますか?
-
Q入院は必要ですか?
-
Q6本の埋入には対応していますか?
-
Q持病があっても治療できますか?
-
Q歯が何本か残っていますが、オールオン4は可能ですか?
-
Qオールオン4の寿命は?
-
Q年齢制限はありますか?
-
Q治療後に気をつけるべきことはありますか?
-
Qメンテナンスは必要ですか?
-
Q治療時痛みはありますか?
-
Q保険診療でオールオン4の治療ができますか?
Example
オールオン4の症例
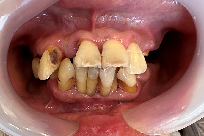
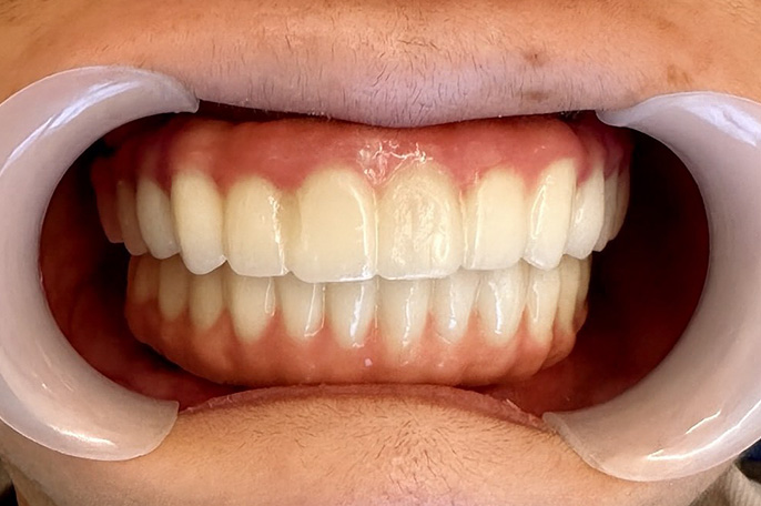
オールオン4 症例・53歳女性主訴:総入れ歯をインプラントにしたい。
上の総入れ歯が緩くて話しづらい、食べづらいのでインプラントにしたいとのことで来院されました。かなり骨が薄かったので合計で7本のインプラント治療をして快適にお食事、お話が出来る様になりました。
| 治療期間 | 6ヶ月 |
|---|---|
| 治療費 | 2,750,000円(税込) ※施術代、インプラント、被せ物、CT全て込み |
| メリット | 取り外しの入れ歯ではなくなるので、よく噛め、会話時に発音が気にならない。自分の歯のように生活ができる。 |
| デメリット | 外科処置を伴います。 |
| 起こりうる症状 | 外科処置に伴って腫れ、お痛みが出ることがあります。 |

術前

術後
オールオン4 症例・48歳女性主訴:上下の歯を綺麗にしたい。
口の中がボロボロでマスクが外せないという患者様です。上下オールオン4にて治療しました。上下4本ずつインプラントが入っています。即日で綺麗な仮歯が入って満足していただけました。
| 治療期間 | 4ヶ月 |
|---|---|
| 治療費 | 4,400,000円(税込) ※施術代、インプラント、被せ物、CT全て込み |
| メリット | 即日で抜歯してインプラント治療と仮歯のセットまで行いますので歯がない期間がありません。従来のインプラント治療だと1年程度かかるケースですが、オールオン4を選択することによって治療期間が短縮できます。 |
| デメリット | 外科処置を伴います。 |
| 起こりうる症状 | 外科処置後の腫れ、痛みが出ることがあります。セラミックが破折することがあります。 |

術前

術後
オールオン4 症例・56歳男性主訴:上下の主訴:歯がボロボロで食事ができない。
口の中がボロボロで噛めなくて困っている患者さんです。上下ともにオールオン4治療で、上下4本ずつインプラントを入れて即日で仮歯まで装着しました。
| 治療期間 | 6ヶ月 |
|---|---|
| 治療費 | 5,000,000円(税込) ※施術代、インプラント、被せ物、CT全て込み |
| メリット | 即日で抜歯して仮歯まで入るので一気に改善することが可能です。従来の治療だと1年以上かかるところを6ヶ月程度の治療期間で終えることが出来ました。 |
| デメリット | 外科処置を伴います。 |
| 起こりうる症状 | 外科処置後に腫れ、痛みが出ることがあります。セラミックが破損する可能性があります。 |

術前

術後
Docter
ドクター紹介
院長
秋元 陽
鶴見大学を卒業後、鶴見大学歯学部補綴科に所属し、歯の治療の技術を鍛錬
秋元歯科クリニックの2代目院長を経て、現在はあきもと歯科院長としてインプラント治療で地域に貢献している。
経歴
2015年3月鶴見大学 歯学部 卒業
2015年~鶴見大学歯学部附属病院 非常勤(現在も在籍
2017年~2020年ふじみ歯科クリニック相模大野 副院長
2017年4月秋元歯科クリニック 入職 非常勤
2021年6月秋元歯科クリニック 院長就任
2024年10月あきもと歯科 開業
所属・会員情報
鶴見大学歯学部附属病院補綴科 所属
日本補綴歯科学会 所属
口腔インプラント学会 会員
国際口腔インプラント学会 認定医
国際口腔インプラント学会ISOI 会員
ITIメンバー
Straumann Basic Implantology Certificate
インビザラインGOシステムCertificate
日本歯科医師会会員
神奈川県歯科医師会会員
横浜市歯科医師会会員
ザイゴマインプラント協会登録医
オールオン4についてのご相談はこちら
Access
横浜市のインプラント治療 あきもと歯科について
横浜市で費用が明瞭なインプラント治療ができる歯医者をお探しならあきもと歯科へ
| 医院名 | あきもと歯科 |
|---|---|
| 住所 | 〒221-0866 神奈川県横浜市神奈川区羽沢南2-44-7 HAZAAR 4F |
| TEL | 045-744-5665 |
| URL | https://www.akimotodental-hazawa.jp/ |
| 診療時間 |
|
| 休診日 | 水曜日、日曜日、祝日 ※土曜日も診療いたします |
| アクセス方法 | 羽沢横浜国大駅から徒歩1分 お車の方はHAZAAR内の駐車場(90分以内無料/最大500円)をご利用ください |
横浜市本牧エリアにお住いの方へ
横浜市中区本牧にある秋元歯科クリニックでもインプラント治療を受け付けておりますので、お気軽にご相談ください
| 医院名 | 秋元歯科クリニック |
|---|---|
| 住所 | 〒231-0806 神奈川県横浜市中区本牧町1丁目9 安田屋ビル2F |
| TEL | 045-621-6161 |
| URL | https://www.akimotodental.com/ |
| 診療時間 |
|
| 休診日 | 木曜日、祝日 ※土日診療いたします |
| アクセス方法 |
|
| 駐車場のご案内 | 駐車場2台 |